试题详情
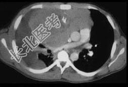
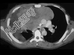
- 单项选择题女,34岁, 咳嗽,咯血半月余, 请结合影像学检查,选出最可能的诊断 ( )


A、纵隔畸胎瘤
B、淋巴瘤
C、胸腺瘤
D、神经源性肿瘤
E、肺癌
关注下方微信公众号,搜题查看答案

热门试题
- 反映机体内脏蛋白情况的检查方法是A、三头
- 引起失血性休克的急性失血量,最低为全血量
- 男性,48岁, 背部肿块3cm×4cm,
- 有关皮肤鳞状细胞癌的叙述哪项正确A、早期
- 男,54岁, 发热、胸痛一月余,继往有酗
- 肺癌国际TNM分期中的Ⅲa期是指A、T<
- 慢性脓胸的手术治疗方式有A、改进引流手术
- 胸部损伤后胸部X线检查对下列哪项意义不大
- 无全身活动性肺结核的病人,已经长期药物治
- 男性,67岁, 2小时前左胸不慎被钝器撞
- 代谢性酸中毒时血气分析主要参数变化是A、
- 男性,12岁,跌伤后发现上胸部、肩部及头
- 1、首先考虑的诊断是 ( )
- 下列哪项不是胸廓成形术的适应证 (
- 1、血卟啉病的原发性缺陷是缺乏2、血卟啉
- 气管切开术是治疗胸部损伤的有效急救措施,
- 等渗脱水补钾时每小时尿量必须超过A、20
- 诊断血胸最可靠的方法A、X线平片B、CT
- 目前,介入治疗已成为肺癌的主要治疗手段之
- 哪一项不是低位食管癌术后胸腔内残胃排空障