试题详情
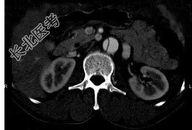
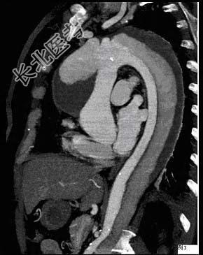
- 多项选择题请看一组主动脉的CT增强图像,正确的描述和结论是 ( )

A、主动脉血栓
B、主动脉瘤
C、主动脉夹层
D、真腔较假腔小
E、真假腔之间线状低密度影为内膜片影
关注下方微信公众号,搜题查看答案

热门试题
- 1、此患者应考虑的诊断有( )2、(
- 男,20岁, 发现高血压2~3年,血压最
- 右心衰竭时引起淤血的主要器官是A、肺、肝
- 1、该病例周围血管有以下异常表现,但应除
- 下列哪些体征提示动脉狭窄的可能A、动脉搏
- 早期应用大剂量长疗程杀菌剂治疗亚急性感染
- 特发性肺动脉高压最常见的首发症状是(
- 下列有关尿激酶描述正确的有A、可溶解纤维
- 高血压合并冠心病时可选择A、哌唑嗪B、β
- 左房室瓣关闭不全不会导致( )A、心
- 1、首选的实验室检查是( )2、超声
- 临床上抢救急性肺水肿给予患者吸氧时,常在
- 关于冠状动脉多排螺旋CT检查,叙述正确的
- 梅毒性心血管病常在初次梅毒感染后多少年内
- 心源性休克时,可以选用的升压药物有(
- 1、下列哪些不是动态血压监测的适应证2、
- 患儿男,12岁,发现心脏杂音10年。查体
- 肥厚型心肌病的治疗措施正确的是A、迟缓肥
- 左心衰竭的临床表现主要是由于A、肺淤血、
- 梅毒性心脏病的基本病理改变是A、梅毒性心