试题详情
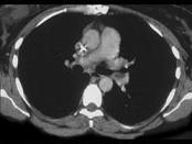
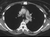
- 单项选择题女,51岁, 心脏手术后,突感胸痛, 结合CT图像,最可能的诊断是 ( )

A、肺栓塞
B、支气管扩张
C、肺水肿
D、肺癌
E、肺不张
关注下方微信公众号,搜题查看答案

热门试题
- 扩张型心肌病最主要的体征是A、心律不齐B
- 1、患者入院后应常规检查A、心电图B、血
- 关于预激综合征说法正确的是A、预激是指心
- 猝死抢救时,最先进行的基础心肺复苏包括A
- 代表自心房开始除极至心室开始除极的时间指
- 感染性心内膜炎的赘生物,下列哪项说法是错
- 中度或重度二尖瓣狭窄时二尖瓣面积为A、≤
- 心电图上P波与QRS波群无关,心室率38
- 男大学生,22岁。每逢上体育课时觉胸部闷
- β受体阻断药长期应用可以显著降低冠心病患
- 电击复律治疗不适合用于以下哪种情况中(
- 在治疗阵发性折返性心动过速时,如合并下列
- 急性心肌梗死需要植入临时心脏起搏器的适应
- 主动脉内气囊反搏术采用的触发方式有A、R
- “二尖瓣面容”为A、面晦唇青B、面色萎黄
- 正常人群HV的数值范围为A、25~45
- 在我国,高血压(原发性高血压)的死亡原因
- 女性,35岁, 心悸、气短4年,今晨起大
- 女性,38岁。发现心脏扩大3年, 因充血
- 下面哪种说法对于急性心包炎是错误的A、心