试题详情
- [材料题] 患者男性,80岁,主因"食欲缺乏、精神萎靡1周,喘息2天"入院。患者1周前无明显诱因出现食欲不佳,不愿进食,伴精神萎靡、乏力,无明显发热、咳嗽、咳痰等症状。2天前患者出现活动后气促,夜间不能平卧,需高枕卧位,为进一步诊治收入院。既往:有高血压病史20余年,前列腺增生病史20余年,糖尿病史10余年,冠心病史6余年,老年痴呆病史3余年。入院查体:T36.5℃,P90次/分,R30次/分,BP90/60mmHg,神志淡漠,半卧位,球结膜水肿,口唇发绀,双肺呼吸音低,双下肺可闻及散在湿啰音,心界向左扩大,HR120次/分,心律不齐,第一心音强弱不等,各瓣膜区未闻及明显病理性杂音。腹软无压痛,肝脾肋下未及,双下肢轻度可凹性水肿。
- 多项选择题1.患者入院后应常规检查
A、老年综合评估:MMSE、IADL等
B、心电图(ECG)
C、血气分析
D、心肌酶谱B型钠尿肽(BNP)
E、空腹及餐后血糖、糖化血红蛋白
F、肝肾功能、血脂、电解质及血乳酸
G、血PCT、ESR、CRP、IL-6
H、痰涂片、痰培养
I、胸部HRCT
J、全套肺功能
K、超声心动图(UCG)
L、男性泌尿系B超
关注下方微信公众号,搜题查看答案

- 多项选择题2.[提示]实验室检查:血常规WBC15×109/L, NE%89%;BNP2000pg/ml; PCT0.30ng/ml,FBG20mmol/L, CCR40ml/min。ECG:心房颤动, HR135次/分,左室高电压, V3~V5导联T波倒置。超声心动图:左心房、左心室扩大, LVEF45%。MMSE评分:15分。患者的临床诊断为
A、急性心肌梗死
B、心房颤动
C、COPD急性加重
D、心功能不全
E、2型糖尿病
F、慢性肾功能不全
G、老年痴呆
H、急性肺栓塞
I、前列腺增生症
J、肺部感染
K、Ⅱ型呼吸衰竭
L、高血压病
关注下方微信公众号,搜题查看答案

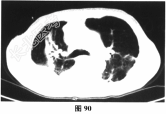
- 多项选择题3.[提示]动脉血气分析:pH7.32, PCO280mmHg,PO250mmHg, SaO285%,HCO-334mmol/L。胸部HRCT结果如图90和图91所示。
此时最为重要的治疗有 A、BIPAP无创呼吸机
B、碳酸氢钠
C、抗感染治疗
D、胺碘酮
E、多奈哌齐
F、胰岛素治疗
G、地高辛
H、利尿剂
I、甲泼尼龙
J、盐酸氨溴索
关注下方微信公众号,搜题查看答案

热门试题
- 1、应该考虑的疾病有( )2、根据目
- 起搏系统是指A、起搏器B、导线系统C、导
- 心律失常常见症状表现为A、胸闷B、心悸C
- 男,78岁, 夜间睡眠中憋醒,气喘不能平
- 心室肌致密化不全的常见临床表现有A、进行
- 以下哪项不是典型心绞痛的缓解方式 (
- 1、患者入院后首先应检查的项目有A、心电
- 患者1年前患急性心肌梗死,现作心电图,以
- 法洛四联症患者的病理生理学特点是A、左心
- 房室交界性逸搏的频率通常是A、>1
- 下列疾病听诊特征中无心尖区舒张期杂音的是
- 心力衰竭引起的发绀属于A、肺性发绀B、混
- 风湿性心脏病最易合并感染性心内膜炎的是A
- 室性心动过速伴严重血流动力学障碍时,终止
- 男,68岁, 因剧烈持续胸痛4小时入院。
- 患者,男, 40岁。发现血压增高半年,最
- 一般心绞痛发作时的疼痛性质是A、针扎样刺
- 慢性室内双束支和三束支传导阻滞的Ⅰ类适应
- 单纯二尖瓣狭窄时,下列说法不正确的是A、
- 缺血性心肌病的病因不包括A、冠状动脉狭窄