试题详情
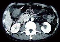
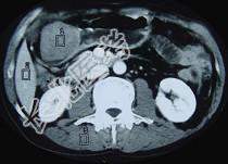
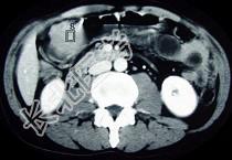
- 单项选择题女性,42岁, 腹痛、黑便1周,CT扫描见胃窦部圆形块影, 最佳的诊断是  (    )
       
- A、胃窦平滑肌瘤 
- B、胃癌 
- C、胃淋巴瘤 
- D、胃窦神经纤维瘤 
- E、胃内异物 
- 关注下方微信公众号,搜题查看答案 
 
热门试题
- 女性,31岁, 上腹灼痛4个月,柏油样便
- 1、最可能的疾病是( )2、提示 患
- 患者,男, 54岁。患肝炎后肝硬化10年
- 1、为明确诊断,首选检查为2、上述检查示
- 溃疡病穿孔的X线检查所见中,有诊断意义的
- 癔球症的临床表现有哪些A、棉团感B、吞咽
- 属于绞窄性肠梗阻腹痛特点的是A、阵发性绞
- 结肠癌排便及粪便性状最突出的改变是A、腹
- 感染乙型肝炎病毒时的年龄影响临床结果,下
- 下列哪项是引起食管下括约肌(LES)压降
- 1、在病史采集过程中,以下哪些情况出现时
- 关于"共同通道学说"下列错误的是A、在解
- 1、对该患者最可能的诊断是2、为明确诊断
- 关于胃癌治疗哪些是正确的( )A、手
- 1、最可能的诊断是2、确诊最有价值的辅助
- 下列不是急性胃炎临床表现的是A、黄疸B、
- 女性患者,67岁。肝硬化15年, 2周前
- 男性患者,37岁。反复右下腹痛、腹泻3年
- 1、提问1:根据目前的信息,该患者应重点
- 女,26岁, 反复右下腹疼痛4年,伴糊状