试题详情
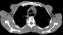
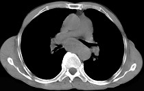
- 单项选择题女性患者,67岁进行性吞咽困难半年, X线及CT检查如图,应诊断为 ( )

A、食管癌
B、食管憩室
C、食管炎
D、食管良性狭窄
E、食管静脉曲张
关注下方微信公众号,搜题查看答案

热门试题
- 男,38岁, 反复发作腹泻4年,大便中常
- 食管内支架置放术的适应证有( )。A
- 女性,26岁, 反复排粘液血便,腹痛6年
- 患者,女性, 41岁。5个月前因反复肝区
- 具有内源胆酸分泌,降低血胆红素,抑制免疫
- 女性患者,40岁。上腹部疼痛5年。餐前痛
- 目前唯一被美国FDA批准用于治疗原发性胆
- 胃食管反流病的类型中,最为常见的是(
- 女性,26岁, 低热、乏力、盗汗1个月就
- 男性,35岁。上腹部反复发作性疼痛5年,
- 经内镜注射化疗药物的适应证有( )。
- 慢性萎缩性胃炎伴恶性贫血时可伴有的疾病不
- 胆汁中胆固醇能呈溶解状态主要依靠 (
- 肝硬化发生肝性脑病者可达A、30%B、9
- 肝小叶静脉闭塞病的主要特征有( )。
- 女性,32岁, 间歇性上腹不适4年,餐后
- 急性胆囊炎可出现( )。A、Miri
- 内镜下黏膜剥离术(ESD)的术后常见并发
- 在婴儿时期,急性腹痛的常见原因有(
- 乙肝患者e抗原阳性常表示A、机体有抵抗乙