试题详情
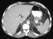
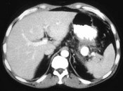
- 单项选择题男,36岁, 反复剑突下胀痛5年,加重伴间断性呕血、黑便3年, 有6年慢性胰腺炎病史,CT检查如图, 最可能的诊断是  (    )
   
- A、脾血管瘤伴慢性胰腺炎 
- B、脾动脉瘤伴慢性胰腺炎 
- C、脾假性动脉瘤伴慢性胰腺炎 
- D、胰腺转移瘤伴慢性胰腺炎 
- E、胰腺癌伴慢性胰腺炎 
- 关注下方微信公众号,搜题查看答案 
 
热门试题
- 梗阻性黄疸病人下列哪项检查对诊断价值不大
- 治疗胆囊结石方法正确且效果确切的治疗方法
- 女性患者,67岁进行性吞咽困难半年, X
- 腺瘤性息肉的病理学分类有( )。A、
- 女性,45岁。反复晕厥, 抽搐3天。查体
- 肝硬化时反映纤维化的肝功能试验是 (
- 患者,男, 51岁,右上腹隐痛2月余,
- 胰腺癌腹痛的特点,错误的是A、腹痛于餐后
- 自身免疫性肝炎(AIH)在病理学的主要表
- 原发性硬化性胆管炎(PSC)的诊断依据有
- 女性,40岁, 便秘10余年,加重半年,
- 肝硬化门脉高压诊断具有特征性意义的表现是
- 1、该病例最可能是哪一种诊断( )2
- 下列关于食管癌病因的描述,哪项是错误的
- 除外下列哪项其余均属于结肠激惹综合征
- 肝癌的特殊全身性表现,不包括下列哪项
- 关于要素型肠内营养制剂的叙述,正确的有(
- 下列哪几项是肠结核必须手术治疗的指征A、
- 下列关于急性肾衰竭的叙述,正确的是(
- 内脏性疼痛的特点不包括( )。A、痛