试题详情
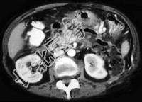
- 单项选择题女性,34岁, 寒战、高热、急性中上腹偏左腹痛,压痛, CT扫描如图,最可能的诊断是 ( )

A、急性胰腺炎
B、胰腺脓肿
C、慢性胰腺炎急性发作
D、胰腺癌
E、胰腺转移癌
关注下方微信公众号,搜题查看答案

热门试题
- 下面电子胃镜图片考虑为何种疾病 (
- 溃疡性结肠炎钡剂灌肠可以见到如下几种表现
- 男,44岁, 患乙肝多年,现腹痛, 腹胀
- 以下哪项关于胰腺外分泌消化酶的选项是正确
- 以下检测幽门螺杆菌的方法中,最简便的方法
- 关于溃疡性结肠炎的治疗下列哪项不正确A、
- 以下哪些属于克罗恩病的特点A、腹痛、腹泻
- 细菌性肝脓肿在未确定病原菌以前,应首选对
- 食管癌的病因不包括( )。A、遗传因
- 急性化脓性胃炎最常见的致病菌是A、沙门菌
- 门诊对有便血伴有腹泻或便秘的患者,首先应
- 急性胰腺炎患者于发病2天内出现休克,首要
- 可以产生中性糖蛋白及碳酸氢盐,保护十二指
- 下列关于急性胰腺炎时低钙血症的说法,错误
- 1、下列最有利于诊断的检查是2、此病人最
- 1、该患者最可能的诊断是( )2、对
- 1、下列哪些内镜表现提示克罗恩病(
- 40%类癌发生于胃肠道各部位,多见部位为
- 下列描述中正确的是A、胃黄斑瘤内含泡沫细
- 下列哪项检查有助于区分早期胃癌和进展期胃