试题详情
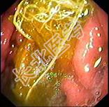
- 单项选择题下面电子胃镜图片考虑为何种疾病 ( )

A、胃石
B、胃内异物
C、胃潴留
D、胃腔胆汁反流
E、胃蛔虫症
关注下方微信公众号,搜题查看答案

热门试题
- 患者男,60岁。进行性消瘦, 低热、食欲
- 对病后就诊较晚的急性胰腺炎有诊断价值的是
- 属于多巴胺D2受体阻断药,是苯并咪唑衍生
- 关于十二指肠溃疡的治疗,最重要的是(
- 长链脂肪乳剂含有12~18个碳原子的长链
- 乳头切开术前最需要胆管测压检查的是A、Ⅰ
- 胆道病变中B超显示较差的部位是 (
- 男性,32岁, 上腹痛4年,多出现于餐后
- 下列关于早期胃癌的叙述哪些是正确的(
- 出血坏死性胰腺炎的特征是( )A、上
- 以下属于肠结核常见临床表现的是( )
- 与普通推进式电子小肠镜相比,双气囊内镜的
- 肝性脑病常见的继发感染有( )。A、
- 肝硬化并上消化道出血主要原因可能是A、消
- 下列关于食管癌病因的描述,哪项是错误的
- 1、应首选的检查方法是 ( )2
- 下列哪项成分在反流物损伤食管粘膜中起主要
- NAFLD的危险因素包括( )A、高
- 慢性胰腺炎患者可采取的镇痛措施有(
- 男性患者,34岁。黏液脓血便3年。抗生素