试题详情
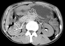
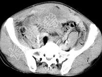
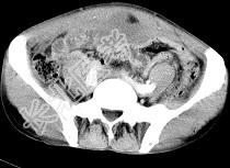
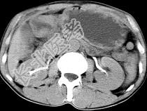
- 单项选择题男,56岁, 无规律上腹痛,左锁骨上淋巴结肿大, 消瘦、乏力,影像检查如图, 最可能的诊断是 ( )

A、腹膜结核
B、胃溃疡穿孔
C、胃癌并盆腔种植
D、胃及腹腔淋巴瘤
E、肠系膜淋巴管瘤
关注下方微信公众号,搜题查看答案

热门试题
- 1、需要考虑的诊断是( )2、提示
- 下列关于GERD临床诊断的叙述,正确的是
- 确诊消化性溃疡的首选检查方法是A、幽门螺
- 肝性脑病患者治疗过程中出现躁狂时可使用的
- 1、首选的检查方法是2、首先要考虑的诊断
- 导致胆囊结石死亡的并发症是A、胆囊炎B、
- 结肠镜检查术的禁忌证有( )。A、原
- 患者,男, 50岁,反复上腹痛2年, 加
- 血清脂肪酶测定对诊断急性胰腺炎的意义为
- 胰头癌远处转移较少而局部浸润早,早期浸润
- CT诊断脂肪肝的依据为( )。A、肝
- 原发性硬化性胆管炎的晚期体征为( )
- 男性,46岁。肝硬化病史3年, 2个月来
- 肝动脉栓塞术(HAE)目前主要使用的栓塞
- 有关出血量的判断,下列哪项不正确A、大便
- 急性胰腺炎ERCP治疗的明确指征有A、胆
- Wilson病的支持治疗与对症处理正确的
- 下列哪几项是早期食管癌的X线表现(
- 男,30岁, 近1个月来,右上腹痛, 并
- 以下关于急性胰腺炎的病因叙述,不正确的是