试题详情
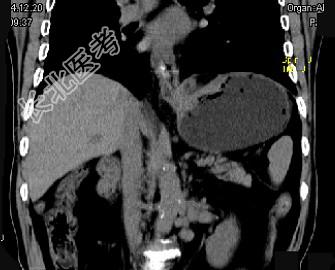
- 单项选择题男,75岁, 吞咽有梗阻感,消瘦、乏力、中上腹痛, 影像检查如图,最可能的诊断是 ( )

A、食管癌
B、胃窦癌
C、贲门癌
D、慢性胃炎
E、胃淋巴瘤
关注下方微信公众号,搜题查看答案

热门试题
- 男性,44岁。间断上腹部不适2年, 胃镜
- 原发性硬化性胆管炎的临床诊断标准不包括(
- 嗜酸细胞生长和存活最主要的促进因子(
- 女,36岁, 上腹痛2年,伴嗳气、呃逆,
- 胃食管反流病患者中,由反流物刺激食管引起
- 人体测量法评价的参数有( )。A、体
- 下列关于消化道出血的临床表现,不正确的是
- 1、该患者诊断应首先考虑为 (
- 吸收不良综合征临床表现疾病有( )。
- 1、根据病史,考虑可能的诊断有( )
- 门脉高压性腹水的SAAG≥11g/L,最
- 急性胆囊炎的诊断标准有( )。A、右
- 某肝硬化患者行门体静脉分流术后3个月,全
- 急性胰腺炎的哪一型可出现淀粉酶值不升反降
- 男性,49岁。肝区胀痛4个月。体检: 肝
- 女性,47岁, 农民,柏油便2天(共约6
- 男性,39岁, 无肝炎病史,近期出现上腹
- 有关原发性肝癌的叙述,不恰当的是(
- 甲胎蛋白阳性对下列哪一项疾病的诊断最有意
- 男性,72岁,慢性胃炎30年,近2周出现