试题详情
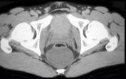
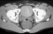
- 单项选择题男,21岁, 下腹部一囊性肿块,无压痛, 请结合图像,选择最可能诊断  (    )
   
- A、盆腔脓肿 
- B、结肠重复畸形囊肿 
- C、神经纤维瘤 
- D、神经鞘瘤 
- E、间质瘤 
- 关注下方微信公众号,搜题查看答案 
 
热门试题
- 有关消化道出血,哪种说法是错误的 (
- 以下哪项提示急性胰腺炎预后不良 (
- 患者男,56岁。间断上腹部隐痛8天。1年
- 男性,65岁, 患胃溃疡多年,近月来上腹
- 下列哪项疾病的呕血与门静脉高压有关A、食
- 导管根据插入的途径可进行的分类有(
- 食管测压,当食管下括约肌, (LES)静
- 下列均为不典型胃食管反流病的临床表现,除
- 1、据患者病史,该患者可通过以下什么检查
- 肝硬化病人做门体静脉分流术后1年,出现腹
- 1、为明确诊断,首先需要做的检查是(
- 男性,45岁。半年前体检发现2型糖尿病,
- 女性,60岁。上腹部疼痛4年, 进食后加
- 胃的淋巴结群不包括A、胃左淋巴结群B、胃
- 肠易激综合征病理生理学基础是A、精神心理
- 早期应用可降低24小时病死率的药物A、生
- 下列有关急性胰腺炎腹痛的描述,不正确的是
- 引起继发性便秘的药物有( )。A、神
- 女,55岁, 反复发作胸骨后疼痛2年,伴
- 男性,67岁。反复上腹痛3月, 疼痛无明