试题详情
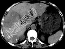
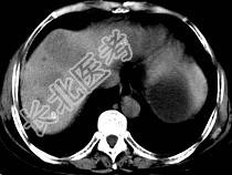
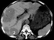
- 单项选择题女,55岁, 腹胀,肛门闭气, 消瘦乏力,肝区疼痛, CT检查如图,最可能的诊断为 ( )

A、多发性肝脓肿
B、肝癌肝内转移
C、肝淋巴管瘤
D、肝脏囊腺瘤
E、结肠癌肝转移
关注下方微信公众号,搜题查看答案

热门试题
- 1、根据病史考虑不可能的诊断为2、下面哪
- 慢性胰腺炎与胰腺癌进行鉴别不需要进行的检
- 正常情况下胆汁在胆囊内被浓缩 (
- 我国胰腺炎最常见的原因为( )A、酒
- DNA错配修复基因(MMR基因)的功能为
- 肝性脑病患者经治疗后神志恢复可给予蛋白质
- 1、根据患者现有病史,考虑其诊断为(
- 氨进入身体的主要门户是通过A、骨骼肌B、
- 胃息肉的切除方法有( )。A、黏膜下
- 幽门螺杆菌的定居部位是 ( )A
- 病毒性肝炎重症的指标是 ( )A
- 男性,60岁。既往溃疡性结肠炎病史15年
- 急性胰腺炎的基本病理改变是( )。A
- 男性,42岁, 因上腹隐痛2个月就诊。胃
- 男性,49岁。有慢性乙肝史10余年,腹胀
- 疝囊壁的一部分为腹内容物时称A、嵌顿性疝
- 引起肝性脑病的发病原因为A、中毒性肝炎B
- 真菌性食管炎的血清学试验有( )。A
- 胆道蛔虫病若未能得到及时的处理,晚期可引
- 内镜食管静脉套扎术的并发症有( )。