试题详情
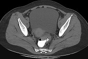
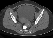
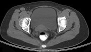
- 单项选择题男,67岁, 排便习惯改变,血便三个月入院, CT检查如图所示,下列说法错误的是  (    )
       
- A、直肠肠腔局限性增厚 
- B、其表面欠光整,边界欠清晰 
- C、可做直肠指检及活检以确定病变性质 
- D、此为直肠息肉 
- E、此为直肠癌 
- 关注下方微信公众号,搜题查看答案 
 
热门试题
- 感染性渗出性腹泻的病因不包括( )。
- 患者,男性, 38岁。因1天前发热39℃
- 根据罗马Ⅲ的诊断标准,功能性消化不良可分
- 下列哪项不是诊断AOSC的重要临床依据
- 经常出现在右下腹的慢性腹痛有( )。
- 对右侧结肠癌和溃疡型肠结核的诊断具有鉴别
- 与普通推进式电子小肠镜相比,双气囊内镜的
- 1、根据上述症状,首先考虑该患者诊断为
- 女,28岁, 4年来常有左上腹痛,低热,
- 男性,38岁,平素身体健康,饮酒后4小时
- 慢性消化性溃疡穿孔多见于( )A、胃
- 经内镜十二指肠乳头括约肌切开术的禁忌证有
- 肝动脉栓塞术(HAE)中使用最为广泛的栓
- 胰腺外分泌功能检查的间接试验方法有(
- 可发现胰管有无变形、扭曲、狭窄或扩张、结
- 一位因发热住院患者经检查发现存在以下问题
- 以下关于原发性肝癌的临床表现和体征叙述,
- 对发热、腹痛、血性腹腔积液的患者,应考虑
- 慢性乙型病毒性肝炎的抗病毒治疗的常用药物
- 关于肝硬化的病理特点叙述,正确的有(