试题详情
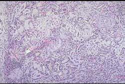
- 单项选择题该肾病理图片你考虑哪种情况可能 ( )

A、终末肾
B、急性肾小管坏死
C、新月体性肾炎
D、毛细血管内增生性肾小球肾炎
E、局灶性节段性硬化
关注下方微信公众号,搜题查看答案

热门试题
- 药物过敏性急性间质性肾炎患者每日使用糖皮
- 关于尿路感染,下列哪项不正确A、急性肾盂
- 溶血性尿毒综合征的血液检查可见A、血红蛋
- 1、假设经敏感抗生素治疗2周后,体温虽下
- 有关肾衰时钙磷的平衡,下列哪项说法不正确
- 以下不属于肾移植绝对禁忌证的是A、近期心
- 尿培养的球菌菌落计数不低于多少才有诊断意
- Fabry病的病因是患者先天性A、β-乳
- 下列关于心导管检查中出现室性心律失常的说
- 总尿量增多所致的尿频常见于A、糖尿病B、
- 胆固醇结晶栓塞性肾病光镜检查可见A、肾血
- 恶性淋巴瘤可因后腹膜增大的淋巴结压迫尿路
- 急性间质性肾炎的病理特征是A、系膜增生B
- 凝固酶阴性葡萄球菌多见于A、老年女性B、
- 影响原发性小血管炎肾损害预后的关键是A、
- 肾静脉血栓的治疗原则是A、尽早溶栓B、控
- 关于急性间质性肾炎的临床诊断,包括以下几
- 急性肾衰竭的主要临床表现是( )A、
- 诊断尿路感染下列哪项最有意义A、尿频、尿
- 下列哪项不属尿路感染范畴 ( )