试题详情
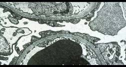
- 单项选择题肾病理光镜及免疫荧光正常,观察电镜下改变, 其病理诊断 ( )


A、正常肾小球
B、膜性肾病
C、膜增生性肾小球肾炎
D、系膜增生性肾小球肾炎
E、微小病变
关注下方微信公众号,搜题查看答案

热门试题
- 关于肾病综合征的治疗,叙述正确的有A、只
- 治疗肿瘤溶解综合征应该至少在治疗前2日内
- 刚果红染色为淀粉样物质的一种特异性染色,
- 1、提问:该患者应首先排除的是2、提示:
- 1、患者乏力、食欲缺乏、活动后心悸,骨髓
- 尿酸生成增多是指限制嘌呤伙食5日后,每日
- 肾静脉血栓形成免疫荧光检查可见A、IgG
- 患者女性,45岁, 反复发生尿频、尿急,
- 糖皮质激素对脂肪代谢的影响可引起A、骨质
- 局灶性节段性肾小球硬化,激素治疗效果不佳
- 关于急进性肾小球肾炎与急性肾小管间质性肾
- 1、最可能的诊断是2、该患者既往经常头痛
- 肾穿刺活检的相对禁忌证包括A、活动性肾盂
- 导致肾病综合征复发和治疗效果不佳的主要原
- 溶血性尿毒综合征的三联征是A、贝赫切特病
- 硬皮病光镜下的主要特征性病变是A、叶间动
- 以下提示可能合并其他非糖尿病肾病,可能要
- 下列关于狼疮性肾炎临床“寂静”型的说法中
- 电离的尿酸很容易形成尿酸盐,主要是A、一
- 关于肾病综合征水肿的发病机制,叙述正确的