试题详情
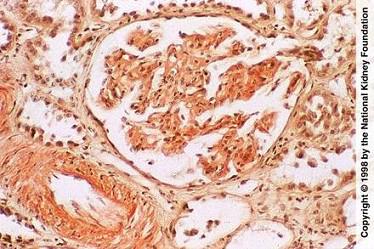
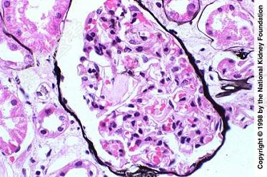
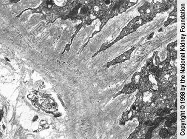
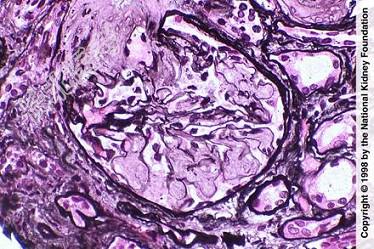
- 单项选择题如图,银染色可见系膜区及毛细血管袢有淀粉样物质沉积, 刚果红染色呈砖红色阳性,电镜以淀粉样纤维沉积为特点, 其病理诊断可考虑为 ( )






A、糖尿病肾病
B、高血压肾损害
C、肾淀粉样变性
D、乙肝相关性肾炎
E、肾小球肾炎
关注下方微信公众号,搜题查看答案

热门试题
- 1、临床诊断为A、急性肾小球肾炎合并左心
- 男性,32岁,水肿、尿少、呕吐2个月,血
- 判断血液透析充分性的评估指标有A、尿素清
- 1、初步诊断为2、该患者的蛋白摄入量建议
- 以下肉芽肿性多血管炎的病变中,特征性病变
- 肌酐清除率与下列哪项有关A、肾血流量B、
- 与肾小管相关的常染色体隐性遗传性多囊肾病
- 系统性红斑狼疮最常见且严重的临床表现之一
- 肾病综合征的治疗,下列不合适的是A、大剂
- 男性,20岁, 持续光镜下血尿多年,尿蛋
- 治疗多发性骨髓瘤并发症的血浆置换方案为1
- 女,33岁, 右胁腹痛7天,尿检可见大量
- 男性,16岁,面部红斑,眼睑水肿一个月,
- 范科尼综合征的遗传性病因包括A、Ⅰ型酪氨
- 确诊不典型常染色体隐性遗传性多囊肾病有时
- 顺铂引起的肾病的检查可见A、尿β₂微球蛋
- 诱发肾功能不全加重的最常见因素是A、感染
- 急性肾炎多见于A、青年女性B、儿童,男性
- 腹膜透析对药物的清除的特点有A、大多数口
- 与淋巴瘤发病有关的病原体是A、人类T细胞