试题详情
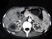
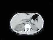
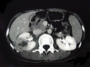
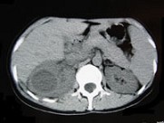
- 多项选择题女,33岁, 右胁腹痛7天,尿检可见大量的脓细胞, CT平扫+增强如图所示,下列说法正确的是 ( )

A、右肾体积增大,其内可见类圆形低密度病灶
B、增强扫描可见该病灶不均匀强化,其内有无强化的坏死灶
C、右肾病灶边界模糊不清
D、考虑为右肾囊肿合并感染
E、考虑为右肾脓肿
关注下方微信公众号,搜题查看答案

热门试题
- 慢性肾盂肾炎治疗后随访和判断疗效和主要内
- 肾静脉血栓形成的检查中,可见肾盏漏斗部拉
- 在下列肾脏疾病中,哪种用包括皮质类固醇在
- 患者,女性, 23岁,半年来浮肿、少尿、
- 尿培养的球菌菌落计数不低于多少才有诊断意
- 毒物相关性肾损害中,肾小管上皮细胞直接受
- 1、对狼疮肾病性质的诊断,最有帮助的检查
- 缺血性肾病与良性小动脉性肾硬化症的鉴别要
- 尿毒症时脂肪代谢的异常表现为 (
- 多发性骨髓瘤的诊断有多种标准,实践中可采
- 尿毒症病人的饮食应取A、高蛋白、高热量、
- 以下关于肾脏的位置叙述,错误的是A、肾脏
- 恶性小动脉性肾硬化症的病因是A、纤维肌性
- 关于双膦酸盐的肾损害的肾脏病理表现特点,
- 尿路感染的最常见致病菌是A、革兰阴性杆菌
- 据产生蛋白尿的原因,蛋白尿分为A、体位性
- ( )作为一种全球发病率最高的原发性
- 近端肾小管性酸中毒进行自身抗体等免疫学检
- 慢性间质性肾炎的确诊依据A、肾活检病理检
- 女性,24岁, 查体B超发现右肾轻度萎缩