试题详情
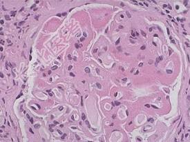
- 单项选择题仔细阅读下面两张病理图片(光镜下毛细血管袢呈铁丝圈样—白金耳),其诊断可考虑为 ( )


A、硬化性肾炎
B、毛细血管内增生性肾小球肾炎
C、狼疮性肾炎
D、局灶节段性硬化
E、新月体性肾炎
关注下方微信公众号,搜题查看答案

热门试题
- 以下关于丙型肝炎病毒叙述,错误的是A、属
- 患者,男, 38岁,因肾衰竭, 嗜睡30
- 1、该患者最可能的诊断是2、若行肾穿刺活
- 诊断急性肾小管坏死的注意事项包括A、急性
- 抗中性粒细胞核周抗体(p-ANCA)的靶
- 1、乳糜尿尿色呈( )。A、粉红色B、
- 患者,男, 65岁,尿频、夜尿增多已5年
- 环磷酰胺的主要不良反应为A、较强的局部组
- 急性肾小球肾炎肾活检电镜检查的典型变化为
- 1、最可能的诊断是2、用于评估体铅贮积量
- 原发性小血管炎肾损害的维持缓解期治疗的目
- 女,33岁, 右胁腹痛7天,尿检可见大量
- 引起实体肿瘤肾损害的发病机制包括A、肿瘤
- 1、首选的检查是A、实验室检查癌胚抗原B
- 急性肾衰竭合并心力衰竭的药物治疗主要是A
- 以下哪一条不适合治疗严重急性肾衰竭A、低
- 1、可能的诊断是2、首选治疗措施是
- 肾衰竭时最常见的酸碱平衡紊乱类型是A、代
- 肾脏外层皮质的深层为髓质,占整个肾实质的
- 与尿路感染发病有关的因素是A、细菌的致病