试题详情
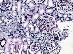
- 单项选择题阅读下述三张狼疮性肾炎病理图片后,其病理诊断为 ( )



A、Ⅲ型LN
B、Ⅰ型LN
C、Ⅳ型LN
D、微小病变病
E、Ⅱ型LN
关注下方微信公众号,搜题查看答案

热门试题
- 青霉素引起的肾毒性以急性过敏性间质性肾炎
- 一种先天性的肾髓质囊性病变,特征为肾锥体
- 培哚普利对肾的保护作用的主要机制不包括A
- 关于急进性肾炎,叙述错误的有A、肾活检病
- 慢性肾衰竭代偿期的标准是 ( )
- SLE可检测到的自身抗体中与新生儿狼疮有
- 以下不属于肾移植绝对禁忌证的是A、近期心
- 1、本例最可能的诊断为2、在下列临床资料
- 慢性肾盂肾炎患者,经中西医结合治疗,尿常
- 关于肾小球肾炎的叙述,下列哪项是不正确的
- 急性肾小管坏死多尿期,下列哪项是不对的A
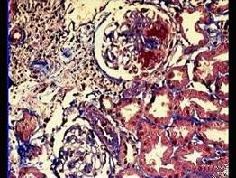
- 从下面两张病理图片可诊断为 (
- 关于慢性肾盂肾炎,哪项是正确的A、可反复
- 男性,60岁,确诊多发性骨髓瘤4个月,目
- 肾小球滤过率是指A、单位时间每侧肾脏生成
- 常染色体隐性遗传性多囊肾病的典型临床表现
- 梗阻性肾病的治疗原则是A、及早解除梗阻B
- 男性,23岁,水肿、血尿1个月,BP16
- 过量吸收碳酸钙可引起乳碱综合征,表现为A
- 过敏性紫癜的基本病变是A、全身弥漫性坏死