试题详情
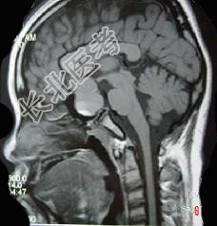
- 单项选择题男,47岁, 视物模糊数月,头痛、恶心、呕吐3天, 行MRI检查如图,最可能的诊断是 ( )

A、垂体瘤并出血
B、表皮样囊肿
C、颅咽管瘤
D、蛛网膜囊肿
E、脑膜瘤
关注下方微信公众号,搜题查看答案

热门试题
- 22岁男性患者,突然左眼视力下降, 视力
- 对面神经的描述,不正确的是 (
- 1、对于该患者最需要鉴别的疾病是2、提示
- 外伤性脑内血肿与头部着力的关系中,最不正
- 1、对该患者的体格检查有需要注意的事项有
- 根据(见图)所示,颅底陷入症与扁平颅底最
- 1、患者的可能诊断A、颅咽管瘤B、颅内动
- 右侧同向偏盲可见于A、左侧视束损伤B、左
- 脊髓某节段前角细胞损伤可造成 (
- 帽状腱膜下血肿的处理原则正确的是A、均需
- 符合高颅压性脑积水的临床表现的有A、头痛
- 脑脓肿的临床表现哪一项是不正确的A、可有
- 第1腰脊髓节段 ( )A、参加腰
- 丘脑的腹后外侧核 ( )A、管理
- 肾上腺皮质激素治疗脑水肿的作用原理为A、
- 良性颅内压增高一般可见于 ( )
- 一侧额叶脑水肿的CT表现可以为A、同侧脑
- 1、你认为,为了诊治的需要还可进行哪项检
- 1、最可能的诊断是2、确诊的首选检查
- 继发型脑包虫病分为A、肝包虫病期、肺包虫