试题详情
- [材料题] 女性,53岁。主诉查体发现肝脏占位1个月入院。无恶心、发热,有时觉上腹痛、腹胀,无皮肤、巩膜黄染,无消瘦。否认肝炎和结核病史。
- 多项选择题1.为进一步明确诊断,应选的检查是( )
A、腹部增强CT
B、腹部MRI平扫+增强
C、肝脏超声造影检查
D、介入下选择性动脉造影
E、肝脏ECT核素扫描
F、PET-CT检查
关注下方微信公众号,搜题查看答案

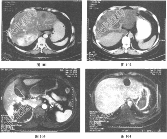
- 多项选择题2.[提示] 该患者增强CT和MRI检查提示肝脏有多发病变,其中右后叶的占位病灶约9.8cm×6.2cm×5cm大小; 结果见图101~图108。
请问该患者的临床诊断应考虑( ) A、右后叶肝恶性淋巴瘤
B、右后叶肝海绵状血管瘤
C、胆囊结石
D、肝囊肿
E、右后叶血管肉瘤
F、肝血管内皮细胞瘤
G、右后叶FNH
关注下方微信公众号,搜题查看答案

- 多项选择题3.[提示] 该患者入院化验结果:ALT17.6U/L, AST13.7U/L,Alb45.7g/L, TB10.4μmol/L,DB4.5μmol/L, GGT72.9U/L;Hb153g/L, WBC7.28×109/L,PLT169×109/L; PT16.6s,APTT37.5s, INR1.09PTA101.3%,Fib1.9μg/ml; AFP2.4ng/ml;CA19-9 7.8U/ml; CEA0.8U/ml;CA125 10.2U/ml。该患者的合理处理方式为( )
A、开腹右肝肿瘤切除+胆囊切除
B、腹腔镜下右肝肿瘤RFA+胆囊切除
C、肝囊肿去顶开窗术
D、超声引导下经皮射频消融右肝肿瘤
E、肝右后叶切除术
F、介入栓塞治疗
G、三维适形放疗
H、观察随访
关注下方微信公众号,搜题查看答案

- 多项选择题4.[提示] 该患者术后病理报"肝海绵状血管瘤;慢性胆囊炎、胆囊结石, 胆囊底部腺肌瘤病"。关于胆囊腺肌瘤的描述,下列错误的是( )
A、胆囊底部最多见
B、若无症状时可观察
C、常合并胆囊炎
D、常合并胆囊结石
E、罗-阿窦是诊断的重要依据
F、是一种癌前病变
关注下方微信公众号,搜题查看答案

热门试题
- 1、下一步的诊疗措施应考虑( )A、
- 1、最可能的诊断是(如图) ( )
- 1、下列哪项病史对诊断最有帮助A、有无转
- 1、最可能的诊断是A、远视B、麻痹性内斜
- 1、以下处理合适的是:A、考虑左侧急性鼻
- 有关腓总神经损伤,下列哪些是正确的A、腓
- 1、临床诊断首先考虑A、右肩周软组织损伤
- 关于双侧耳硬化症患者的手术治疗方案,以下
- 患者男性,25岁, 左眼挫伤后视力下降1
- 1、(如图)最可能的诊断是 ( )
- 胰岛素瘤的典型临床症状为低血糖发作,患者
- 患者男,32岁, 因“左耳闷塞感1个月”
- 4岁儿童,家长诉其看电视时出现右眼外偏,
- 1、你考虑如下哪些病可能:A、急性喉炎B
- 慢性喉炎声音嘶哑,最有效的治疗方法是A、
- 1、请问该患者的临床诊断为( )A、
- 骨转移瘤的临床治疗方法包括A、高压氧治疗
- 1、为明确诊断,首要作哪些检查?A、颈部
- 周围神经损伤最常见的致伤因素是A、贯通伤
- 1、根据病史,体查患者可能为哪些疾病A、