试题详情
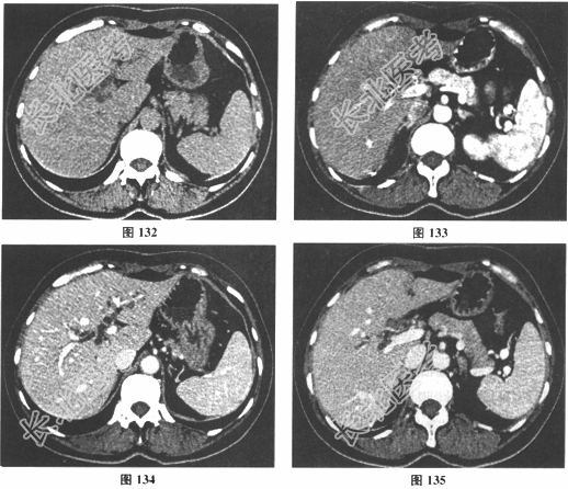
- [材料题] 女性,55岁。主诉腹腔镜胆囊切除术后3个月,皮肤巩膜黄染伴瘙痒20余天入院。3个月前在当地医院行LC术,术后因"胆漏"再次手术,发现"胆管小破口",予"缝合胆管破口+T形管引流术",术后1.5个月复查肝功正常后拔出T形管。拔管后2周出现皮肤巩膜黄染。无发热、寒战,有恶心、呕吐,间断有上腹部疼痛,无腹泻,无大便颜色变浅。当地医院MRI检查提示"肝内外胆管扩张"。病来无明显体重减轻。有高血压病史6年,平素口服苯磺酸氨氯地平片控制血压,血压时有波动。入院后化验:Hb129g/L,WBC5.44×109/L,N0.67,PLT362×109/L,PT11.3s,ATPP39.1s,PTA149%,INR0.82,Fib4.58;ALT419.6U/ml,AST330.5U/ml,Alb38.5g/L,TB141.9μmol/L,DB111.5μmol/L,TBA261.2μmol/L,AKP780.3U/L,GGT1627U/L;AFP4.36ng/ml,CEA0.37μg/ml,CA19-918.5U/ml;乙肝(-)。CT和MRCP检查结果见图。

- 多项选择题1.请问该患者的临床诊断为( )
A、肝门部胆管癌
B、胆管中段癌
C、损伤性高位胆管狭窄
D、腹腔镜胆囊切除术后
E、右肝动脉损伤
F、肝总管内结石嵌顿梗阻
关注下方微信公众号,搜题查看答案

- 多项选择题2.该患者胆管损伤的Bismuth分型为( )
A、BismuthⅠ型
B、BismuthⅡ型
C、BismuthⅢ型
D、BismuthⅣ型
E、BismuthⅤ型
F、BismuthⅥ型
关注下方微信公众号,搜题查看答案

- 多项选择题3.胆囊切除术导致胆管损伤的原因有( )
A、胆囊管汇入肝总管位置变异
B、存在右副肝管
C、右肝管低位汇入肝总管
D、慢性萎缩性胆囊炎
E、急性胆囊炎
F、胆囊颈部结石嵌顿
关注下方微信公众号,搜题查看答案

- 多项选择题4.胆管损伤的最佳手术时机是( )
A、术中即时修复
B、损伤后2周内
C、损伤2~4周后
D、损伤后2个月
E、损伤后3个月
F、损伤后6个月
关注下方微信公众号,搜题查看答案

- 多项选择题5.该患者最合适的治疗手段是( )
A、内科保肝对症治疗
B、内镜下乳头切开、球囊扩张、放置支架
C、ERCP下放置金属支架
D、PTCD
E、ENBD
F、外科手术治疗
关注下方微信公众号,搜题查看答案

- 多项选择题6.[提示] 手术探查发现:肝十二指肠韧带区粘连明显, 肝总管周围粘连严重,质硬, 纤维化瘢痕,胆管狭窄长度约15mm, 直径约2mm。该患者最适宜的手术方式是( )
A、胆管整形、胆管-空肠Roux-en-Y吻合术
B、胆管修整缝合术
C、胆管对端吻合术
D、带血管蒂的胃瓣修补术
E、带血管蒂的肝圆韧带修补术
F、围肝门肝切除术、胆肠吻合
G、肝移植术
关注下方微信公众号,搜题查看答案

热门试题
- 女,70岁。右髋摔伤, 不能行走,右下肢
- 当病人出现血容量不足的症状时,说明在短期
- 气管异物取出术后的注意事项有A、密切观察
- 1、为明确诊断,应紧急检查的项目包括A、
- 乳腺癌皮下淋巴管被癌栓阻塞时,进行乳房检
- 脊柱结核易发生截瘫的部位为A、胸椎B、附
- 腹腔镜在临床上的应用下列哪项除外(
- 1、为进一步明确诊断,首选的检查方法是A
- 胰岛素瘤的典型临床症状为低血糖发作,患者
- 患者男性,34岁。3天前突发腰痛, 半天
- 1、为明确诊断应紧急检查的项目为(提示
- 1、上述最可能的诊断是 ( )A、眶尖综
- 蝶窦仅隔一薄层骨壁与上方相邻的结构为A、
- 1、最可能的诊断是A、臂丛神经损伤B、脊
- 关于手外伤术后处理,正确的是A、术后用石
- 影响脊髓型颈椎病手术疗效的常见因素包括A
- 有关原发性硬化性胆管炎的叙述,哪项不恰当
- 低渗性缺水者重度缺钠是指血钠至少低于A、
- 1、该患者属于外斜视的哪一类型A、外展过
- 关于口咽检查,下列说法错误的是A、咽部检