试题详情
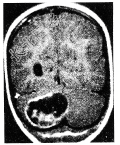
- 单项选择题男性患者,39岁。头痛、步态不稳3个月。查体: 神清,双侧视盘水肿, 右侧轮替动作不能。周围血象红细胞增多,B超发现右肾有一囊性肿物, 头颅CT发现右小脑半球囊性占位性病变(如图所示)。其病变性质最可能是

A、星形细胞瘤
B、转移瘤
C、血管网状细胞瘤
D、上皮样囊肿
E、脑脓肿
关注下方微信公众号,搜题查看答案

热门试题
- 关于癌性疼痛“三阶梯疗法”表述正确的是A
- 有关中枢神经系统淋巴瘤MRI特点的描述,
- 对垂体的描述,不正确的是 ( )
- 室管膜瘤的组织学分型有A、乳头型B、囊型
- Brown-Sequad综合征的主要临床
- 关于头皮裂伤的一般处理原则,以下正确的是
- 1、行头颅CT检查提示可能诊断为A、颅内
- CT影像中描述病灶早期出血的是A、低信号
- 原发性颅内肿瘤可发生在A、垂体B、脑神经
- 有关胸外心脏按压的手法叙述不正确的是A、
- 以下表现属于Babinski征的是A、伸
- 椎管内肿瘤最常见的发病部位是A、骶段B、
- 严重颅脑损伤的病人,急救时首先应A、拍摄
- 1、该患者确诊为脑死亡的先决条件是2、该
- 治疗神经性贪食症的药物应首选A、单胺氧化
- 以下不符合小脑幕切迹疝临床表现的是A、呼
- 男性患者,20岁。从5米高处落下, 头额
- 良性颅内压增高一般可见于A、静脉窦血栓形
- 吸入麻醉前,常规使用抗胆碱药物的主要目的
- 当前,帕金森病立体定向手术方式中疗效肯定