试题详情
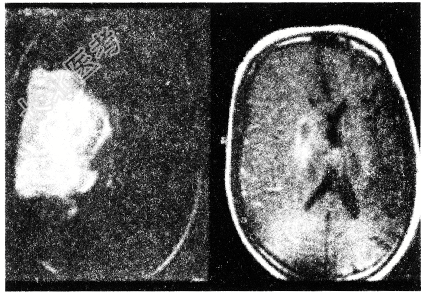
- [材料题] 男性患者,56岁。半月前无明确诱因出现头晕症状,伴左下肢无力,左上肢发胀,双手麻木,症状呈进行性加重。查体:除左下肢肌力Ⅳ级外无其他阳性体征。

- 单项选择题1.行头颅CT检查提示可能诊断为
A、颅内肿瘤
B、高血压脑出血
C、脑囊肿
D、脑脓肿
E、脑梗死
关注下方微信公众号,搜题查看答案

- 单项选择题2.为明确诊断首选检查
A、MRI
B、脑电图
C、腰穿化验脑脊液
D、气脑造影
E、脑血管造影
关注下方微信公众号,搜题查看答案

- 单项选择题3.核磁检查结果(见图)首先考虑诊断

A、脑梗死
B、脑囊肿
C、脑膜瘤
D、高血压脑出血
E、胶质瘤
关注下方微信公众号,搜题查看答案

- 单项选择题4.正确的治疗为
A、肿瘤切除
B、脱水、止血等对症治疗
C、扩张脑血管治疗
D、抗生素控制感染
E、开颅探查、活检
关注下方微信公众号,搜题查看答案

热门试题
- 对脊髓颈膨大的描述,以下正确的是A、该节
- 低钾血症患者补钾速度通常不宜超过A、50
- 脑外伤综合征指的是脑外伤后A、6个月B、
- 为了提高疗效与减少副作用,常用左旋多巴复
- 下列哪项是颅裂手术的最关键步骤A、颅骨缺
- 治疗原发性帕金森病最有效的药物为A、泰舒
- 1、额叶癫痫中岛叶发作的特点是2、关于额
- 清创的原则中,不正确的是A、切除失活的组
- 男性患者,58岁。晨起出现右侧偏瘫、言语
- 患者,50岁。上运动神经元及感觉完好,
- 脊髓空洞症与Chiari畸形直接相关的临
- 利用视频脑电监测系统判断癫痫灶起源时以下
- 左侧舌下神经周围性瘫痪表现是A、伸舌偏右
- 患儿男,12岁。CT示松果体区肿瘤, 内
- 脊柱裂可以分为哪几类A、脊髓神经膨出B、
- 关于脑和椎管内转移瘤,叙述不正确的是A、
- 颈内动脉瘤若发生在海绵窦段最易受压的神经
- 正常大脑消耗全身氧摄取量的A、10%B、
- 脑膜瘤多发于A、男性B、儿童C、男性稍多
- 幕上急性硬膜外血肿的CT表现通常是A、新