试题详情
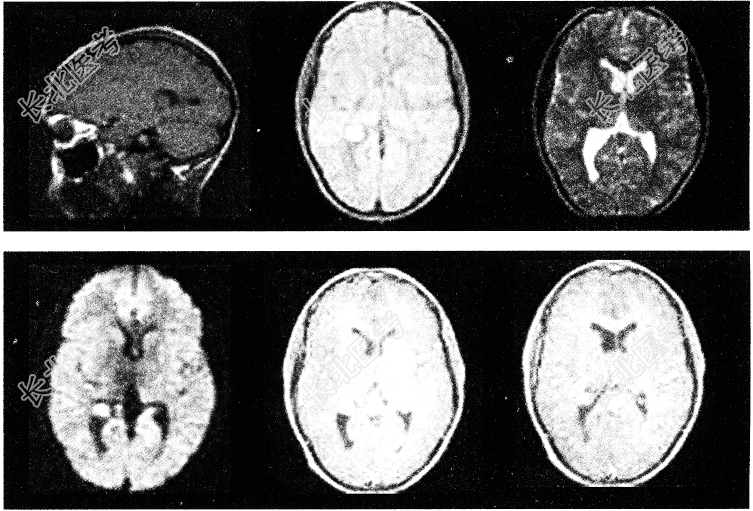
- 单项选择题有关脑室内脑膜瘤(如图所示),以下哪项说法不恰当

A、侧脑室内脑膜瘤多位于侧脑室三角部
B、三、四脑室内脑膜瘤可引起梗阻性脑积水
C、起始于脉络丛
D、脑血管造影显示侧脑室内脑膜瘤供血动脉多为大脑中动脉
E、临床常见头痛、视盘水肿
关注下方微信公众号,搜题查看答案

热门试题
- 浅感觉纤维在脊髓丘脑束中的排列是A、按骶
- 关于丛集性头痛,以下说法正确的是A、多为
- 常引起枕骨大孔疝的颅内肿瘤为A、脑膜瘤B
- 1、为明确诊断,可进行的检查包括2、提示
- 女性,27岁。反复发作性肢体抽搐10年。
- 下列属于肠内营养并发症的是A、必需脂肪酸
- 男性患者,20岁。从5米高处落下, 头额
- 脑血栓形成发病的重要危险因素应为A、短暂
- 自中脑背部发出的颅神经为A、舌咽神经B、
- 小脑幕切迹中通过的是A、延髓B、中脑C、
- 1、需立即采取的处置包括2、明确诊断需进
- 女性患者,46岁。脑外伤12小时, 头痛
- 真、假性延髓性麻痹最重要的区别为A、咽反
- 抗癫痫药物治疗癫痫的原则为A、大剂量、短
- 以下叙述错误的是A、非交通性先天性脑积水
- 创伤性炎症若未并发感染、异物存留,伤后炎
- 脑出血最常见的部位为A、脑桥B、内囊内侧
- 诊断脑挫裂伤的临床依据可除外何项A、腰穿
- 大脑中动脉的供血区是 ( )A、
- 1、初步的临床诊断应考虑为A、急性脑病B