试题详情
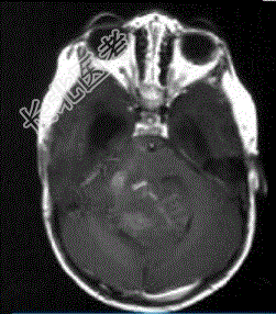
- 单项选择题成年男性患者,头痛、头晕、恶心, 病程2年余,结合影像图像选择最可能的诊断

A、星形细胞瘤
B、畸胎瘤
C、脑膜瘤
D、室管膜瘤
E、胶质瘤
关注下方微信公众号,搜题查看答案

热门试题
- 高灌注综合征的典型临床表现为A、颅内出血
- 男性患者,39岁。4小时前突然剧烈头痛,
- 人脑神经中最长、分布范围最广的一组神经为
- 男性患者,21岁。车祸头部外伤, 昏迷3
- 硬脑膜形成的结构为A、小脑镰B、大脑镰C
- 1、CT检查如图所示,患者入院后除脱水、
- 单侧完全性视野缺失可见于A、视交叉损伤B
- 关于原发性脑干损伤的治疗,不适宜的方法为
- 有关脑膜瘤的叙述,正确的有A、大部分来自
- 下列表现中,哪项与枕骨大孔疝无关A、瞳孔
- 帕金森病患者出现震颤麻痹是因为A、红核神
- 1、此时对该患者立即实施抢救,首先应该进
- 颅内肿瘤病人最常见的共有表现为A、运动障
- 蛛网膜下腔出血不会出现A、血性脑脊液B、
- 超声诊断常用于A、神经损伤诊断B、骨折诊
- 女性患者,45岁。反复发作额颞部搏动样头
- 1、可能的诊断是A、脑血栓形成B、脑动脉
- 大脑半球切除术的适应证有A、Rasmus
- 哪项不属于小脑幕裂孔疝常见的症状A、血压
- 以下对于硬脊膜外隙的说法,正确的是A、含