试题详情
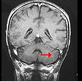
- 单项选择题如图箭头所示,应属于大脑的哪个部位 ( )

A、脑干
B、额叶
C、枕叶
D、小脑
E、顶叶
关注下方微信公众号,搜题查看答案

热门试题
- 髓内病变的临床表现有A、感觉障碍为传导束
- 颈内动脉的终支是A、大脑后动脉B、眼动脉
- 以下符合神经系统变性疾病特点的是A、其基
- 继发性三叉神经痛应检查A、颅底CTB、颅
- 自主神经发作性癫痫常见的病灶部位应是A、
- 当前有关65岁以上帕金森病的治疗,首选的
- 关于肌电图重复神经电刺激错误的是A、高频
- 根据病人的症状,体征等临床资料, 以确定
- 一中年女性,因淋雨感冒半月后出现复视、眼
- 哪项不属于引起长期失眠的原因A、环境因素
- Duchenne型肌营养不良症不应出现的
- 偏头痛病人服用麦角胺咖啡因治疗,正确的服
- 关于脑干听觉诱发电位各波的起源,叙述正确
- 关于脊髓小脑性共济失调下列不正确的是A、
- 目前治疗神经莱姆病可选用以下哪些药物A、
- 小脑病变的症状体征包括A、跟膝胫试验不准
- 重症肌无力的表述不符合的是A、腾喜龙试验
- 神经组织病毒感染可出现以下哪些变化A、淋
- 1、此患者最可能的诊断为( )2、为明
- 四叠体综合征引起的双眼上视不可以属于(