试题详情
- [材料题] 患者,男性,71岁,因“上腹痛1天”就诊。患者1天前无明显诱因出现上腹痛症状,呈持续性发作,疼痛性质不能叙述,与体位及饮食无明显关系,伴反酸、嗳气、恶心,无呕吐,无腹泻,无发热、寒战,无心慌、胸痛、呼吸困难等不适,持续约2小时后自行缓解。于当地医院就诊测心电图,心率40次/min,考虑ⅢAVB、病窦综合征,为进一步治疗收入院。患者自发病以来,精神欠佳,未进食,未排粪便,尿无明显异常,体重较前无明显变化。既往史:高血压病史20年,血压最高可至200/110mmHg,自服药物控制,监测情况不详。查体:T 37.8℃,P 82次/min,R 25次/min,BP 101/57mmHg;神志清楚,急性病容,皮肤巩膜轻度黄染,全身浅表淋巴结未扪及肿大,颈静脉正常,心肺未见异常,腹平坦、软,剑突下压痛,无反跳痛、肌紧张,肝脾肋下未触及,肠鸣音2次/min,双下肢无水肿。
- 多项选择题1.患者入院后应完善的检查包括
A、心电图运动试验
B、血气分析
C、心电图(ECG)
D、腹部CT
E、空腹血糖和糖化血红蛋白
F、D-二聚体
G、淀粉酶
H、胸部X线片
I、超声心动图(UCG)
J、肝脏酶谱
K、冠状动脉造影
关注下方微信公众号,搜题查看答案

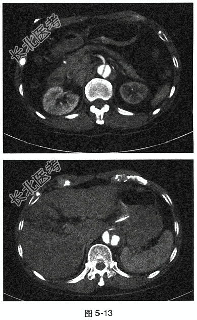
- 多项选择题2.[提示]ECG:窦性心律, HR38次/min,Ⅱ、Ⅲ、aVF导联ST段压低0.1mV。实验室检查: 外周血WBC 13.7×10⁹/L,N 0.873; ALT 180U/L,AST 146U/L, 白蛋白28.0g/L,血淀粉酶165U/L, 脂肪酶1117.0U/L。腹部增强CT见图5-13。患者可能的临床诊断为

A、急性心肌梗死
B、房室传导阻滞
C、急性胆囊炎
D、急性胰腺炎
E、主动脉夹层
F、肝功能不全
G、高血压病
关注下方微信公众号,搜题查看答案

- 多项选择题3.[提示]腹部CT显示:主动脉内散在低密度血栓影, 可见内膜钙化内移,初始破口位于升主动脉, 范围累及胸主动脉至腹主动脉分叉处。 此患者的类型为
A、DeBakey Ⅱ型
B、局限性DeBakey Ⅲ型
C、广泛性DeBakey
D、DeBakey Ⅰ型
E、局限性DeBakey Ⅰ型
F、局限性DeBakey Ⅱ型
关注下方微信公众号,搜题查看答案

- 多项选择题4.此疾病高危检测灌注不良的证据包括
A、尿量减少
B、脉搏短绌
C、局限性神经功能缺损
D、低氧血症
E、主动脉舒张期杂音
F、低血压或休克
G、四肢收缩压差
关注下方微信公众号,搜题查看答案

- 多项选择题5.对此患者的治疗原则为
A、戒烟
B、如果没有禁忌证,应给予静脉内β受体拮抗剂治疗,并逐步调整到≤60次/min的目标心率
C、适度运动
D、治疗糖尿病、冠状动脉粥样硬化性心脏病、高脂血症等伴随疾病
E、收缩压控制目标是100~120mmHg
F、如果患者有使用β受体拮抗剂的明确禁忌证,应采用非二氢吡啶类钙拮抗剂控制心率
关注下方微信公众号,搜题查看答案

热门试题
- 患儿男,3岁。腹泻4 d, 加重2 d,
- 以下哪一项口服中毒后,会出现“肠源性发绀
- 以下有关米力农作用的叙述,错误的是(
- 以下哪—项不是心源性休克的最常见病因
- 急性亚甲二氧基甲基苯丙胺(摇头丸)中毒最
- “生存链”的环节中,哪个环节为抢救患者生
- 关于胃肠激素的叙述,不正确的是A、调节消
- 气管插管或套管长期留置的并发症包括(
- 硝普钠是一种直接作用于外周血管的快速强效
- 关于催吐,以下说法不正确的是 (
- 1、急诊应做的检查包括A、心电图B、胸部
- 急诊医师应牢记“CRASHPLAN”以指
- 不属于结核性脑膜炎典型症状的有( )
- 腹部X线平片不易显影的泌尿系统结石是A、
- 应激时交感一肾上腺髓质系统兴奋所产生的防
- 苯二氮类镇静药中毒后的特效解毒剂是A、氯
- 躁狂发作患者住院治疗,为了加速控制急性期
- 肾性急性肾衰竭最常见的病因 (
- 1、患者本次的初步诊断为A、呼吸衰竭B、
- 关于牵张反射的叙述,不正确的是A、牵张反