试题详情
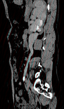
- 多项选择题患者女,44岁, 突发性胁腹部绞痛并向会阴部放射伴血尿一次。如图所示,以下说法正确的是 ( )

A、左肾输尿管未见异常
B、右输尿管内可见沿输尿管走行的高密度影
C、右侧肾盂肾盏扩张
D、右输尿管中上段扩张
E、右输尿管结石
关注下方微信公众号,搜题查看答案

热门试题
- 血液的氧离曲线左移发生在A、肺毛细血管B
- 下列有关氨力农使用的叙述,正确的是(
- 气管插管的相对禁忌证有A、主动脉瘤压迫气
- 应在启动急救医疗服务系统后多少分钟内完成
- 严重冻僵时,体温为 ( )A、&
- 患者,女, 26岁。不慎被蛇咬后,右手麻
- 复苏中采取维持血压,低温, 镇痉,脱水等
- 死亡人数百至千人,或直接经济损失在百万元
- 1、患者入院后完善凝血指标检查,最可能出
- 失血性休克患者经补液后血压正常,中心静脉
- 患者,男性, 34岁,突起上腹痛3小时,
- 大批伤员中,对于大出血的患者应用的标记颜
- 肝性脑病患者血氨升高的原因有A、消化道出
- 人狂犬病免疫球蛋白的注射剂量为A、20I
- 1、该患者最可能的诊断是2、可以发现对诊
- 能早期反映心力衰竭并评价其进程和预后的生
- 抢救巴比妥中毒所致呼吸衰竭的首要措施为
- 热衰竭多见于A、中年妇女B、年老体弱及慢
- 对年轻人而言,吗啡的半衰期大约为A、4.
- 关于胃肠激素的叙述,不正确的是A、调节消