试题详情
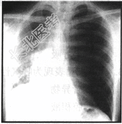
- 单项选择题男性患者,22岁。左侧胸壁刺伤3小时, 呼吸窘迫,结合以下胸片检查该患者最可能的诊断( )。

A、气胸
B、纵隔气肿
C、胸腔积液
D、肺挫伤
E、肺气肿
关注下方微信公众号,搜题查看答案

热门试题
- 机体缺血-再灌注损伤最常见的器官是A、脑
- 急性单纯性胆囊炎应选用A、急诊胆囊切除术
- 最易导致心室颤动的是哪种电流 (
- 2020国际心肺复苏指南推荐成人胸外按压
- 以下哪种中毒不会引起中毒性溶血 (
- 下列哪种急性中毒其治疗首选血液透析A、氯
- 1、目前最准确的诊断是A、急性百草枯中毒
- 不会导致组织水肿的因素是A、淋巴回流受阻
- 卫生行政部门在接到突发公共卫生事件报告后
- 多器官功能障碍综合征时肾的表现中以下哪一
- 突发公共卫生事件的处理原则是( )。
- 躁狂发作患者住院治疗,为了加速控制急性期
- 下述哪项最能明确气胸诊断A、呼吸困难、发
- 男,76岁, 突发神志不清,伴呕吐6小时
- 影响腹膜透析效率的因素有( )。A、
- 以下哪项是危重患者的静态营养检测内容
- 基于突发公共卫生事件管理的信息,仅强调及
- 关于每分输出量的叙述,不正确的是A、等于
- 使起搏阈值降低的情况是A、心肌缺血、坏死
- 有机磷杀虫药中毒的毒蕈碱样表现不包括