试题详情
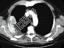
- 单项选择题男,53岁, 胸痛1月余加重2周,CT检查, 最可能的诊断为 ( )

A、右侧石棉肺胸膜斑
B、右侧良性胸膜间皮瘤
C、右侧恶性胸膜间皮瘤
D、右侧胸膜转移瘤
E、右侧胸膜弥漫增厚
关注下方微信公众号,搜题查看答案

热门试题
- 1、治疗中最重要的是2、治疗稳定期COP
- 患者,女性, 33岁。搬入新居后频繁咳嗽
- 呼吸衰竭患者,神志模糊, 有些烦躁不安,
- 下列支持胸腔漏出液的是( )。A、A
- 1、关于该患者的抗生素应用,以下哪条比较
- 肺脓肿实验室检查方法的运用,以下正确的是
- 阻塞性肺气肿时首先发生A、缺氧B、二氧化
- 1、患者经过UPPP治疗后,日间嗜睡再次
- IPF的确诊标准一中,除有外科肺活检显示
- 可引起低钠、低氯、水中毒的是A、胰岛素B
- 关于肺癌的治疗原则,下列哪一项说法不正确
- 男性,65岁, 右胸痛2个月余,进行性加
- 慢性肺脓肿患者,经反复用青霉素、链霉素及
- 女性,30岁, 农民。2周前于田间劳动时
- 慢性呼吸衰竭的患者,具备以下哪些条件可继
- 肺心病患者,发热咳脓痰1周。如果心电图示
- 肾病综合征并发感染防治正确的是A、必须预
- 吸入性肺脓肿的病原菌绝大多数是A、金黄色
- 男性,55岁。因右上肺低分化鳞癌, 抗癌
- 女性,60岁。确诊类风湿关节炎20余年,