试题详情
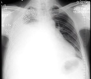
- 单项选择题男性患者,38岁, 感胸闷气逼2周,近来加剧, 不发热。X线检查如图,最佳诊断是 ( )

A、右侧肺不张
B、右侧胸膜肥厚
C、右侧大量胸腔积液
D、右侧中量胸腔积液
E、支气管扩张
关注下方微信公众号,搜题查看答案

热门试题
- 持续气道正压机械通气的适应证是A、功能残
- 病原体可以通过下列哪些途径引起社区获得性
- ANCA阳性小血管炎常见的肾脏病理改变为
- 男性,52岁。慢性咳痰, 时呈黄脓性痰,
- 下列白血病和对应的典型染色体改变不正确的
- 1、最可能的诊断是( )。A、肺鳞状
- 女性,68岁。因咳嗽、痰血1个月余就诊。
- ICH肺部浸润,诊断时需要加以鉴别的常见
- 肾病综合征并发感染防治正确的是A、必须预
- 1、该患者诊断应考虑( )。A、慢性
- 1、为明确诊断,首选的检查方法是A、痰培
- 急性肺脓肿的治疗效果取决于A、脓液引流是
- 对肺外形的描述如图,错误的是 (
- 下列说法正确的是A、阻塞性睡眠呼吸暂停综
- 有感染高危因素的医院获得性肺炎患者常见的
- 女性,31岁, 2周前曾出现咽干,喷嚏、
- 治疗性研究的主要评价指标A、发病率B、患
- 患者男,43岁,从事计算机工作5年,机房
- 47岁男性,咳嗽、胸痛、痰中带血、消瘦4
- 对右肺的描述,正确的是 ( )<