试题详情
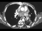
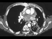
单项选择题男,45岁, 咳嗽,咯血2月余, 有20余年吸烟史,请结合影像学检查, 选出最可能的诊断 ( )

A、肺结核

B、小细胞肺癌

C、肺脓肿

D、肺囊肿

E、肺错构瘤

  • 关注下方微信公众号,搜题查看答案

热门试题