试题详情
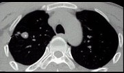
- 单项选择题男性,25岁, 低热、咳嗽2个月。胸部CT见图,最可能的诊断是 ( )

A、急性血行播散型肺结核
B、肺结核球
C、肺癌
D、肺脓肿
E、支气管扩张
关注下方微信公众号,搜题查看答案

热门试题
- 依据哮喘的严重程度和气流受限状况,将哮喘
- 1、该患者最可能的诊断是( )。A、
- 男性,20岁。战士。3天前起咽痛、流涕、
- X线检查发现右上肺均匀致密大片状影,其中
- 1、该病的传染源主要是2、该病主要的病理
- 1、最可能的诊断是A、心源性哮喘B、上呼
- 有关肺炎球菌肺炎的病理,下列叙述正确的是
- 对于支气管哮喘有诊断意义的检查是A、肺功
- DPB的病因包括A、神经-肌肉病变B、遗
- 女性,39岁, 既往体健,外伤致多处骨折
- 女性,30岁。Graves病患者, 抗甲
- 17岁学生,2周来感乏力,咽痛,咳嗽,咳
- 下列哪些是可疑肺癌的表现A、反复发作的同
- 下列哪一项关于原发性气胸的描述是正确的
- 肺炎链球菌肺炎并发感染性休克的主要表现不
- 下列哪项最符合癌性胸膜炎胸腔积液的表现
- 女性,72岁, 有冠心病病史多年,本次因
- 诊断异位内分泌综合征应符合的条件包括A、
- 胸水pH<7.0仅见于A、肺梗死B
- 1、该患者最可能的诊断2、肺功能不应出现