试题详情
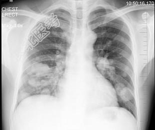
- 单项选择题男性,43岁, 胸闷、胸痛10余天,不咳嗽不发热, X线检查如图,最合理的诊断是 ( )


A、原发性肺癌
B、肺转移瘤
C、炎性假瘤
D、结核瘤
E、支气管扩张
关注下方微信公众号,搜题查看答案

热门试题
- 属于介入肺脏病学诊治范围的是( )。
- 女性,32岁, 近1年来活动后气急,两肺
- X线胸片上稳定期结核病灶是A、渗出、钙化
- 女,26岁, 全身不适,发热, 咳嗽,咯
- 临床表现与重型法洛四联症相似的先天性心脏
- 继发性肺结核的发病方式有A、发病慢,临床
- 哪项不是胃癌的癌前病变A、慢性萎缩性胃炎
- 急性肺栓塞常见的体征有A、气管向患侧移位
- 1、首先考虑的诊断是 ( )2、
- 女性,30岁。突起高热、胸痛, 咳铁锈色
- 下列哪项与呼酸合并代谢性碱中毒无关A、使
- 诱发吸入性肺脓肿的因素是A、身体其他部位
- 下列支气管扩张的描述中,错误的是 (
- 女性,22岁。低热、消瘦, 闭经,偶有轻
- 女,36岁, 发热,胸痛咳脓痰十余天,
- 关于流感的叙述,下列哪些是正确的(
- 血气分析pH7.40,可能见于哪组情况A
- 诊断阻塞性肺气肿,最有价值的是A、PaO
- 男性,70岁, 失眠,吵闹不安, 继而嗜
- 诊断肺炎球菌肺炎哪一症状价值最大A、寒战