试题详情
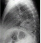
- 单项选择题女,36岁, 发热,胸痛咳脓痰十余天, 胸部正侧位如图,最可能的诊断为 ( )


A、左下肺周围型肺癌并空洞形成
B、左下肺脓肿
C、左下肺空洞型肺结核
D、左侧包裹性液气胸
E、急性胃扩张
关注下方微信公众号,搜题查看答案

热门试题
- 临床确诊DPB的必要条件包括( )。
- 免疫抑制剂治疗ITP,正确的是A、疑有脑
- 左心衰竭的临床表现主要是由于A、肺淤血、
- 患者女性,62岁。3年前患脑梗死, 此后
- 重症支气管哮喘发作伴酸中毒时,疗效最容易
- 男性,40岁。哮喘急性发作1周,昨夜气急
- 外源性哮喘最容易在何时发作A、春暖花开、
- 下列哪种生物活性物质的作用可舒张支气管
- 原发性肺脓肿最常见的病原菌是A、肺炎球菌
- 全身性结核病有下列哪些症状A、结核性脑膜
- 胸腔积液的病因有A、损伤B、胸膜毛细血管
- 下列哪项不符合ARDS表现 (
- 原发性肺结核自然演变过程中,最常见的是
- 继发性肺结核的临床特点,不正确的是 (
- 男性,60岁。因患肺源性心脏病(肺心病)
- 女性,30岁, 进行性呼吸困难2个月,X
- 结节病最有特征的影像学改变是 (
- 以肺组织含气由多到少为序,叩诊音的排序为
- 支气管哮喘的胸部X线检查的特点是A、病发
- 下列不属于睡眠呼吸暂停综合征夜间临床表现