试题详情
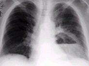
- 单项选择题男,36岁, 胸痛半月伴发高热,胸片发现占位性病变, CT检查如图,最可能的诊断为 ( )



A、左下肺肺脓肿
B、左下肺癌并空洞形成
C、左侧胸腔积脓
D、左下肺囊肿
E、左下肺肺炎
关注下方微信公众号,搜题查看答案

热门试题
- 下列关于闭合性气胸采用排气疗法的叙述,正
- 支气管柱状扩张典型的X线表现是( )
- 结节病患者的死因常为A、贫血B、呼吸困难
- 男,20岁, 醉酒后高热,胸痛, 咳嗽痰
- 1、本病例肺部感染的病原体可能性最大的当
- 室性期前收缩次数为哪项可以诊断为"频发性
- 哮喘可能引起A、呼吸性酸中毒并代谢性酸中
- 美国风湿病协会1990年提出的韦格纳肉芽
- 下列哪一项化验检查对诊断支气管扩张最有意
- 支气管激发试验通常采用非特异性激发试验的
- 痰菌阴性肺结核是指A、3次痰涂片阴性B、
- 关于肺癌的病理和分类,下列哪一种说法不正
- 中枢神经系统白血病多见于A、ALLB、C
- 临床研究中要注意伦理问题,国内外通行的做
- 肝硬化患者Child-Pugh分级总分是
- 结核性渗出性胸膜炎,胸腔穿刺排液时, 下
- 诊断支气管扩张最有价值的依据是A、慢性咳
- 男,45岁, HBV阳性10年,胸痛1个
- 男,25岁, 咳嗽,咯血近1周, 午后低
- 病史中下列哪些情况都可能是间质性肺疾病的