试题详情
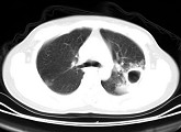
- 单项选择题男,25岁, 咳嗽,咯血近1周, 午后低热1个月余,CT检查如图, 最可能的诊断为 ( )

A、畸胎瘤
B、双上肺结核,左上肺结核空洞形成
C、液气胸
D、肺大疱
E、肺炎
关注下方微信公众号,搜题查看答案

热门试题
- 呼吸衰竭的病因是A、肺血管疾病B、肺组织
- 1、强调低流量吸氧是为了避免( )。
- 下列哪几项指标有助于缩窄性心包炎与限制性
- 男性,31岁。几天前曾患“感冒”, 畏寒
- 关于肺脓肿手术治疗指征,下列哪项是错误的
- 肺心病患者出现心室颤动、心脏骤停以致忽然
- 下列选项中不符合肺心病体征的是A、心音遥
- 女性,62岁。突发性胸痛伴咯血、呼吸困难
- 下列不是Horner综合征特征性表现的是
- NSIP具有以下特征 ( )A、
- 1、该病的传染源主要是2、该病主要的病理
- 下列非小细胞肺癌除哪种表现外,皆不适宜手
- 男性,45岁。体检时做胃镜检查为慢性非萎
- 下列哪一项不是Cushing综合征患者下
- 以下哪项痰液标本符合作细菌培养的条件A、
- 女性,20岁。以鼻出血及皮肤紫癜就诊。血
- 1、该患者最可能的诊断为2、对于确定诊断
- 系统性红斑狼疮患者,应考虑合并弥漫性肺泡
- 男性,53岁。反复咳嗽并有吸烟史10年,
- 聚合酶链反应技术用于检测结核菌的优点是(