试题详情
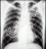
- 单项选择题男性,18岁, 发热1个月,体温37.5~38.5℃, 抗感染治疗无好转,消瘦明显, 胸片见图,最可能的诊断是 ( )

A、肺门淋巴结核
B、淋巴瘤
C、结节病
D、肺癌,淋巴结转移
E、原发性肺结核
关注下方微信公众号,搜题查看答案

热门试题
- 肺部真菌感染多与哪个因素无关( )。
- 下列哪项检查可提高血行播散型结核的诊断率
- 某青年,肺门淋巴结肿大,OT(1:200
- 符合变应性肉芽肿性血管炎的实验室检查是A
- 男性,56岁, 反复发作性咳嗽、咳痰20
- 关于痰结核菌检查叙述正确的是( )。
- 患者男,56岁, 咳嗽1个月余就诊。干咳
- 下列哪项指标可提示有早期小气道病变存在A
- 以下各项正确的是A、支原体肺炎首选红霉素
- 1、下列检查中最可能出现的情况是 (
- 1、病史中应特别注意询问2、确诊最有价值
- 骨髓移植和器官移植受者易感哪种病毒A、疱
- 氧和二氧化碳对呼吸系统的影响为A、PaC
- 抗菌药物标准疗程通常为A、5天B、10天
- 下列肺炎中最易并发肺脓肿的是A、肺炎支原
- 某患者在应用异烟肼、链霉素治疗中出现耳鸣
- 男,56岁, 咳嗽咳痰20余年,剧咳时气
- 哪个部位的急性心肌梗死最易发生房室传导阻
- 下列哪项不符合ARDS表现 (
- 哪项肺功能检查对阻塞性肺气肿诊断最有价值