试题详情
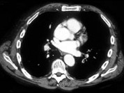
- 单项选择题女性,62岁。突发性胸痛伴咯血、呼吸困难半天。体检: 肥胖,呼吸急促, 左肺呼吸音低。胸部CT如图,应考虑 ( )

A、自发性气胸
B、支气管炎
C、肺炎
D、肺栓塞
E、支气管哮喘
关注下方微信公众号,搜题查看答案

热门试题
- 女性,74岁。因关节炎关节酸痛, 口服水
- 男,16岁,突发呼吸困难,发作前有鼻痒、
- 睡眠呼吸暂停综合征也称睡眠呼吸暂停/低通
- 1、最可能的诊断为( )。A、COP
- 1、该患者出现胸水最可能的原因是2、对该
- 女性,45岁。因慢性支气管炎咳喘症状加重
- 贫血与甲亢对心脏产生的影响使A、左室压力
- 80%以上的DPB患者合并有A、呼吸衰竭
- 右肺下叶背段肺脓肿应采取下列哪种体位引流
- 组织细胞增多症X线的临床表现与下列因素有
- 下列关于支气管扩张常见临床特点的叙述,错
- 以下对支气管肺段的描述不正确的是A、由肺
- 男性,65岁。确诊慢性阻塞性肺疾病5年,
- 确诊金黄色葡萄球菌肺炎的主要依据不包括(
- 1、首先考虑的诊断是2、应首选何种治疗方
- 下列疾病所引起的多个器官功能障碍或衰竭属
- 慢性阻塞性肺气肿可发现哪组体征A、桶状胸
- 肺性脑病常见的特征是 ( )A、
- 以下各项正确的是A、支原体肺炎首选红霉素
- 男性,60岁。咳嗽5年, 呼吸困难加重7