试题详情
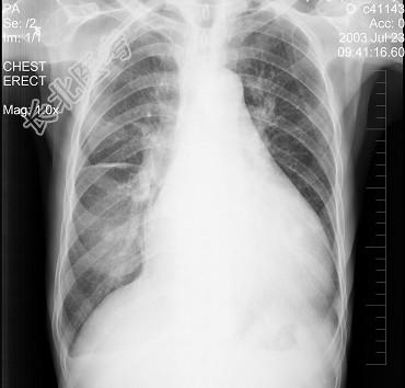
- 单项选择题患者女性,70岁, 胸闷、气逼数年,无明显发热、胸痛, 如图最可能的诊断是 ( )


A、心包积液并右水平裂积液
B、心包积液并右下肺炎
C、心包积液并右斜裂积液
D、心包积液并右双叶间裂积液
E、气胸
关注下方微信公众号,搜题查看答案

热门试题
- 患者,女性, 26岁。低热,右胸刺痛,
- 支气管哮喘发病的主要机制A、过敏因素+呼
- 诊断原发性肺脓肿最有价值的临床表现是A、
- 1、根据目前的资料,该患者在硅沉着病的基
- 男性患者,64岁, 咳嗽高热多日,无痰中
- 男,14岁, 受凉后咳嗽、气喘2天,近日
- 女性,30岁。患者20岁时曾患胸膜炎,
- 1、该患者目前高热最可能的原因是 (
- 有关肺炎病原体检查,可靠的方法是A、痰培
- 下列哪项是鼻罩持续气道正压通气的常见副作
- 1、诊断首先考虑( )。A、结核性胸
- 男性,35岁, 发热、咳嗽、痰中带血1个
- 肺活检或支气管肺泡灌洗液过碘酸雪夫(PA
- 下列哪项不是引起左心衰竭的常见原因A、高
- 慢性阻塞性肺疾病肺气肿常见的病理类型是A
- 关于肺栓塞(PE)分型及治疗叙述错误的是
- 念珠菌肺炎的主要表现A、或成胶冻状B、畏
- 下列哪种心律失常在风湿性二尖瓣狭窄中常见
- 1、患者最可能的诊断是2、下列哪项检查最
- 与吸烟关系最为密切的肺癌是A、鳞癌B、腺