试题详情
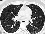
- 单项选择题女,34岁, 气喘伴呼吸困难1个月并加重,CT如图, 最可能的诊断为 ( )

A、多发性肺囊肿
B、肺淋巴管肌瘤病
C、小叶性肺气肿
D、金葡菌感染并肺气囊形成
E、支气管扩张
关注下方微信公众号,搜题查看答案

热门试题
- 男性,20岁。奔跑后出现呼吸困难,喘憋伴
- 慢性肺源性心脏病急性加重期大量使用速尿,
- 支气管哮喘发作时最常见的血气改变是A、p
- 类癌综合征主要与肿瘤释放的下列哪些物质有
- 某慢性肺心病呼吸衰竭患者,动脉血气分析:
- 患者,男性, 15岁。自5岁起每年春季发
- 女性,19岁。低热, 咳嗽一个月。查体:
- 关于结核菌群,下列叙述正确的是( )
- 1、患者经过UPPP治疗后,日间嗜睡再次
- 结节病最有特征的影像学改变是 (
- 男,45岁, 胸痛,咳嗽, 咳痰半月余,
- 肺癌转移性病变可导致 ( )A、
- 患者,男性, 48岁,肺心病合并呼吸衰竭
- 男性,55岁, 刺激性咳嗽3周,呈高调金
- 缺氧患者最典型的表现是A、心率加快B、发
- 对气管隆嵴的描述,正确的是A、偏向左侧B
- 间质性肺疾病的X线胸片阴影的有A、结节状
- 特发性肺含铁血黄素沉着症时,病理学和血清
- 军团菌和动物源性非典型病原体肺炎的最重要
- 1、对于该患者抗结核治疗宜药物联合为