试题详情
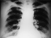
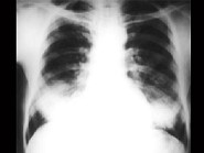
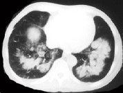
单项选择题女,34岁, 新月体肾炎患者,最近咳嗽咯血, 第一次行胸片检查考虑为双下肺感染,抗感染治疗后无明显好转, 症状加重,4天后复查并行CT检查如图, 应考虑为 ( )

A、肺泡蛋白沉着症

B、肺含铁血黄素沉着症

C、双下肺肺炎

D、肺出血肾炎综合征

E、韦格肉芽肿

  • 关注下方微信公众号,搜题查看答案

热门试题