试题详情
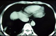
- 单项选择题男,32岁, 外出旅游1个月后,咳嗽1周, CT检查如图,最可能的诊断为 ( )




A、肺部真菌感染
B、肺结核
C、肺类风湿病
D、SLE肺部浸润
E、肺癌
关注下方微信公众号,搜题查看答案

热门试题
- 1、肺栓塞可有哪些化验异常2、诊断肺栓塞
- 女性,26岁。阵发性心慌2年, 每次心慌
- 慢性支气管炎的处理要点为A、改善环境,避
- 男,65岁, 慢性肺心病呼吸衰竭患者,近
- 慢性呼吸衰竭患者,经综合治疗及持续低流量
- DLco可能正常的是A、左心衰竭B、肺泡
- 1、该患者最可能诊断为2、此患者初始使用
- 1、首先考虑的诊断是2、应首选何种治疗方
- 关于SCLC分期,叙述正确的是A、采用美
- 特发性嗜酸粒细胞增多综合征诊断标准为A、
- 1、为尽早作出初步诊断,首选下列哪种检查
- 男性,44岁。因上腹疼痛、恶心、呕吐10
- 对气管软骨环的描述,正确的是A、为完整的
- 气胸量多时肺部体征可有A、呼吸运动减弱B
- 新发现肺结核的患者,胸片示左上肺云雾状淡
- 按累及肺小叶的部位,阻塞性肺气肿的病理分
- 甲状腺功能亢进(甲亢)的早期诊断,下列哪
- 宜选用胰岛素治疗的糖尿病患者群有A、糖尿
- 下列各项中与Graves病的发病关系最密
- 1、需要进行鉴别的疾病是2、不需要进行的