试题详情
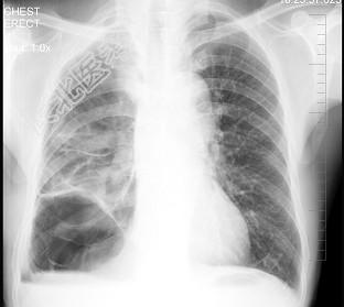
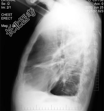
- 单项选择题男性患者,62岁, 常感胸闷、气逼,X线检查如图, 最可能的诊断是 ( )


A、右侧肺大疱
B、右侧气胸
C、右侧肺脓肿
D、右侧胸膜肥厚
E、气胸
关注下方微信公众号,搜题查看答案

热门试题
- 阻塞性肺气肿时首先发生A、缺氧B、二氧化
- 以下关于结节病治疗叙述错误的是A、结节病
- 肺炎胸痛放射到上腹部时病变常累及A、患侧
- 下列支气管扩张的描述中,错误的是 (
- 某慢性呼吸衰竭病人pH7.3,PaCO<
- 应与DPB相鉴别疾病是A、慢性阻塞性肺疾
- 24岁女性,咳嗽、进行性胸闷、气促2月,
- 需常规加用激素治疗的结核病有 (
- 关于慢性呼吸衰竭患者建立人工气道的目的,
- 诊断异位内分泌综合征应符合的条件包括A、
- 呼吸类型属于CSA的有A、浅而快的呼吸B
- 患者男性,45岁, 间断咳嗽、咳痰20年
- 肺栓塞的CT征象不包括A、肺动脉腔内的中
- 患者,男,45岁,吸烟20年,有喘息、咳
- 肺心病心力衰竭时可出现以下常见症状和体症
- 寻常性间质性肺炎(UIP)肺功能的特点是
- 下列哪几项可见于肺炎链球菌肺炎患者A、口
- 女性,56岁, 患类风湿关节炎合并肺间质
- 参与机体酸碱平衡调节的有( )。A、
- 1、患者最可能的诊断为A、肺门淋巴结结核