试题详情
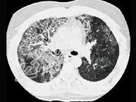
- 单项选择题24岁女性,咳嗽、进行性胸闷、气促2月, 支气管镜如图,镜下可见大量米汁样分泌物。影像学检查如图。可能的诊断是 ( )

A、肺泡蛋白沉积症
B、支气管扩张
C、肺炎
D、肺结核
E、先天性肺囊肿
关注下方微信公众号,搜题查看答案

热门试题
- 结节病可有A、消瘦、纳差B、脱皮C、心律
- 有关OSA患者睡眠结构的叙述,错误的是A
- 肺梗死症状三联征是A、呼吸困难B、胸痛C
- 肺出血-肾炎综合征的临床特征有A、肾小球
- 支气管炎和肺炎的鉴别,有意义的为A、咳嗽
- 男性,35岁,突发左侧胸痛,伴高热、干咳
- 男,20岁,支气管哮喘发作2小时。查:神
- 男性,45岁, 有糖尿病史,突起寒战、高
- 诊断肺泡蛋白沉着症除了病理学检查外,最为
- 1、考虑为什么疾病2、应进行什么检查3、
- 药物治疗CTD-ILD首选A、环磷酰胺B
- 常规剂量下在体内不能杀灭结核菌的药物是
- 关于支气管扩张的咳痰叙述正确的是(
- 1、最可能的诊断是A、心源性哮喘B、上呼
- 特发性间质性肺炎中,HRCT最具有诊断价
- 结核病的化疗原则包括A、早期B、联用C、
- 对右肺的描述,正确的是 ( )<
- 男性患者,40岁,突发寒战高热,伴咳嗽胸
- 呼吸衰竭时,临床上最早出现的症状是A、呼
- ARDS与心源性肺水肿主要鉴别是 (