试题详情
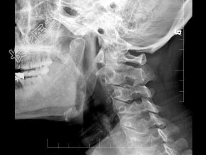
- 多项选择题女,37岁, 咽部异物感、咽痛伴反射性耳痛、头颈部不适近1年余,如图所示, 下列描述正确的是 ( )

A、左侧茎突长约3.5cm
B、右侧茎突长约4.0cm
C、双侧茎突过长综合征
D、右侧茎突过长综合征
E、正常茎突
关注下方微信公众号,搜题查看答案

热门试题
- 下列组织对X线感受性最低的是A、胎儿B、
- X线摄片某处对入射光线吸收率为90%,此
- 属于地方病的是A、骨结核B、软骨瘤C、佝
- 对于相位的描述.下列正确的是 (
- 女性,40岁。CT发现额叶异常密度灶,
- 诊断颅底凹陷症、影像学依据是A、齿突超出
- 下列不是CT防护中常用的辐射剂量的是A、
- 关于体素,叙述正确的是A、体素代表一定厚
- 下列不属于肺实质的是 ( )A、
- 与CT噪声无关的因素是A、X线剂量B、扫
- 深吸气后屏气,常用于的摄片部位是 (
- 与影响X线减弱的因素无关的是A、X线能量
- 下列MRI检查中,应用了水成像技术的是
- 男,33岁,颈部包块半年余,可随吞咽上下
- 软组织的CT值 ( )A、0~2
- 关于肺部疾病MRI适应证的描述较合理的是
- 关于X线影像重叠的叙述,正确的是A、用前
- CT的分析与诊断不正确的说法是A、应先了
- 关节沿腹背轴运动称为A、屈伸运动B、旋转
- 在成人女性,平均宫腔容量为 (