试题详情
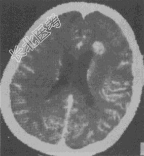
- 单项选择题女性,40岁。CT发现额叶异常密度灶, 无任何症状及体征。CT诊断(见图)最大可能是

A、正常钙化灶
B、脑膜瘤
C、少突胶质细胞瘤
D、海绵状血管瘤
E、脑出血
关注下方微信公众号,搜题查看答案

热门试题
- 有关CT图像伪影的概念,正确的论述是
- 以下关于视网膜母细胞瘤的描述,正确的是A
- 胸部右前方贴肺像架,左侧远离暗盒,中心线
- 决定同一电子壳层中电子具有的能量及运动形
- 介入治疗中,血管内给予罂粟碱的意义是
- 固定阳极X线管的组成有A、阳极B、阴极C
- 下述哪项关于"眶内血管瘤"的CT特点说法
- 患者食道部分切除术后,影像检查如图, 最
- 骶骨前后位,中心线应 ( )A、
- 1、其技术核心是2、曝光后的胶片再通过3
- 导管的主要目的为 ( )A、造
- 眼眶非特异性炎症的CT表现不包括 (
- 动脉导管未闭最典型的X线征象是A、肺血增
- 在SE序列中,T1加权像是指 (
- 属于非数字化技术的影像打印技术是A、视频
- 使用磁共振对比剂合并哪项技术最有利于病灶
- 肺脓肿的CT表现是A、可早期诊断肺脓肿B
- X线能使胶片产生A、穿透作用B、荧光作用
- 下列有关眼玻璃体在磁共振信号的表现,正确
- 下述哪些属于粘胶类栓塞物质 (