试题详情
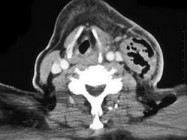
- 单项选择题患者食道部分切除术后,影像检查如图, 最可能的诊断是 ( )


A、脓肿
B、正常术后改变
C、肌肉坏死
D、纤维神经瘤
E、淋巴瘤
关注下方微信公众号,搜题查看答案

热门试题
- 骶骨的耳状关节面与髂骨组成的是A、闭孔B
- 1、关于像素,叙述正确的是2、关于矩阵,
- 用原始数据经计算而得到影像数据的过程称为
- 慢性硬膜下血肿的典型CT表现A、颅板下方
- X线机接地装置接地电阻要求A、<1Ω B
- “经皮穿刺活检术”通常不用于 (
- 面神经管分 ( )A、2段B、3
- 不属于CT特殊扫描的是A、CTAB、灌注
- 关于子宫解剖的MRI表现,描述正确的是A
- 关于拇指前后位中心线,叙述正确的是A、对
- X线管具有高度的真空能够A、防止吸收软X
- 与质量管理的目标无关的是A、体现代价、危
- 下面对磁共振内耳膜迷路造影技术的描述错误
- 口服胆系造影,首次摄片时间为服药后A、8
- 医用CRT显示器中阴极射线管的主要组成部
- 液晶显示器的关键部件为A、阴极射线管B、
- 在部分饱和脉冲序列中,射频脉冲激发的特征
- MR比CT对诊断疾病的主要优越性为A、M
- 用MRI检查骨折,下列不正确的是 (
- 脐上3cm与哪个椎体同一平面 (